歯を残すための
精密根管治療
むし歯や感染が進行すると、歯の神経(根管)が炎症を起こします。
根管治療は、歯を抜かずに残すための重要な治療ですが、精度が不十分だと再発リスクが高くなります。
プリズム歯科・矯正歯科香椎駅前医院では、マイクロスコープやCTなどの精密機器を用いた 精密根管治療 を行い、
再発を防ぎながら歯を長く残すことを目指しています。

精密根管治療は
このような症状の方に
おすすめ

できるだけ歯を残したい
天然歯を残すことは、噛む力や見た目の自然さを守るためにとても重要です。精密根管治療は、抜歯を回避し歯を長期的に残せる可能性を高めます。

他院で抜歯と診断された
「抜歯しかない」と言われた歯でも、マイクロスコープやCTを用いた精密根管治療で保存できる場合があります。諦める前に一度ご相談ください。

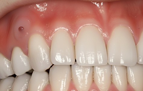
歯ぐきにニキビのようなできものがある
これは歯根の先端に膿がたまり、瘻孔(フィステル)ができているサインです。感染源をしっかり取り除くことで、改善できる可能性があります。

再発防止をしたい
通常の根管治療は再発することも少なくありません。精密根管治療では、無菌的環境と高精度な処置によって再感染リスクを抑え、長期的な安定を目指します。
保険と自費で根管治療はなにが違う?
保険診療は厚生労働省が定める診療報酬制度に基づき、全国どこでも同じ水準の治療を受けられるよう、使用できる機材・材料に制限があります。
一方、精密根管治療はそうした制限を受けないため、より高い成功率と再発リスクの低減を目指す治療が可能です。

患者さまのご希望や症状に合わせ、保険・自費の両方の治療方法をご案内いたします。お気軽にご相談ください。
精密根管治療で
使用する材料・機器

マイクロスコープ
肉眼の数十倍に拡大して視野を確保し、見落としを防ぎながら精度の高い治療を可能にします。

歯科用CT
根管の形や病巣を立体的に確認でき、正確な診断につなげます。

ラバーダム防湿
唾液や細菌の侵入を防ぎ、清潔な環境を維持しながら治療を行います。

ニッケルチタンファイル
柔軟性が高く、複雑に曲がった根管の清掃にも対応できる専用器具です。

MTAセメント
封鎖性や生体親和性に優れ、根管の治療後に高い成功率が期待できます。
歯を抜く前に
一度ご相談ください
精密根管治療は、歯をできるだけ残すための大切な治療です。
当院では、マイクロスコープやCTなどの精密機器を用いて、再発リスクを抑えながら丁寧に診療を行っています。
「抜歯しかない」と言われた歯でも、残せる可能性があります。大切な歯を守るために、まずはお気軽にご相談ください。
▼ 9:00〜14:00/15:30〜20:00(月曜・祝日を除く)
092-403-1255▼ 24時間WEB受付
WEBで予約
